
根管治療とは?
根管治療とは、歯の内部(神経の通っていた管)に感染や炎症が起きた際に、その原因を取り除くために行う治療です。
細菌に侵された神経を取り除き、根の中を消毒・洗浄した上で薬剤を詰めて密閉することで、再発を防ぎます。
治療の精度が低いと細菌が再繁殖して痛みがぶり返すこともあるため、丁寧な診断と細部への対応が重要になります。



根管治療とは、歯の内部(神経の通っていた管)に感染や炎症が起きた際に、その原因を取り除くために行う治療です。
細菌に侵された神経を取り除き、根の中を消毒・洗浄した上で薬剤を詰めて密閉することで、再発を防ぎます。
治療の精度が低いと細菌が再繁殖して痛みがぶり返すこともあるため、丁寧な診断と細部への対応が重要になります。


早めの受診が歯を残せる確率を上げます。

大宮マルイPremiumデンタルクリニックでは、 当院は、天然歯をできる限り抜かずに維持することを診療の基本方針としています。根管治療は歯の保存における最終手段と位置づけ、適合する症例には精密な対応を行います。

微細かつ複雑な根管形態に対し、CTによる三次元的な解析と、マイクロスコープの拡大視野下での処置を導入。これにより、感染源の見逃しリスクを最小限に抑えます。

患者様の時間的負担を軽減するため、治療計画を最適化。症例によりますが、1~2回の通院で治療を完了させる短期集中型のアプローチも採用しています。

治療後の再発リスクを徹底的に排除するため、根管内の確実な消毒と緊密な封鎖(根管充填)を実施。補綴物(土台・被せ物)の適合精度も追求し、長期安定を目指します。
大宮駅すぐの歯医者 大宮マルイPremiumデンタルクリニック
むし歯が進行して、残念ながら神経(歯髄)を抜かなくてはいけなくなった…すでに他院で根っこの治療を受けたことがあって、根っこの病気が再発した…
一旦神経を抜いた歯は“死んだ歯”となります。
ここからは歯牙破折(折れたり割れたり)と、根っこの病気の再発との戦いとなります。
そして色々と研究や試行錯誤の末、ある治療法を開発しました。それが抗菌性根充法です。
01
除菌
この方法は、まず特殊な薬剤を用いて、根っこの中から、根っこの先までをしっかりと除菌します。使用する薬剤は殺菌力が高く、非常に浸透性があるものです。
02
詰め物(充填材)
その後、半永久的に殺菌成分を放出し、体には無害な詰め物(充填材)をします。この充填材は、非常に密閉性が高く、歯の表面に食い込んで固まるので、菌が繁殖するスペースが無くなります。
03
最後に
あとはその上から、非常に抗菌性が強く、強度もあるセメントで固めてゆき、土台作りをします。あとは好きなかぶせ物をして終了!
日本の健康保険は誰もが医療を受けられる優れた制度ですが、定められた範囲での治療が基本となります。
そのため「より長持ちさせたい」「見た目も自然に美しくしたい」といったご希望のすべてにお応えするのが難しい場合もございます。
当院では、ご自身の歯を生涯大切にしたいと願う方へ、より精密で身体に優しい材料を用いる自由診療もご提案しています。
それぞれの治療法の長所・短所を丁寧にご説明し、ご納得いただいた上で最適な選択ができるようサポートいたしますので、お気軽にご相談ください。
保険外診療(自由診療)が可能にする世界基準の根管治療

ほとんどのケースは、1回で治療が終わります。通院回数という点で、患者さんの負担を大きく減らすことができます。 治療時間は90分〜120分かかりますが、回数を少なく行った方が治療の効果が高いからです。

成功率の高い根管治療を行うには、専門的な知識だけでなく高度な治療技術も必要になります。 担当する歯科医師は、治療経験・症例数が豊富です。

根の病気の原因は、お口の中の細菌です。根の中に細菌が入らないよう、細心の注意を払わなければなりません。 治療中のラバーダム使用はもちろんのこと、治療期間中に細菌が歯の中に侵入しないよう、徹底した管理を行います。

マイクロスコープを用いると、20倍以上の拡大した視野で治療が可能です。「手探りの治療」から脱却し、「可視できる、精密な治療」となり、感染源をしっかり除去できるようになります。

CT撮影を行うことにより、従来の2次元のレントゲン写真と比べ、これらを立体的に確認することができます。診断の精度向上に有効なツールです。

最も良い治療結果が得られるように、世界に認められている最新かつ最良の材料を使用します。

治療する歯を隔離するためのゴム製シート。唾液の侵入を防ぎ、根管内を清潔に保つことで、治療の精度向上に繋がります。

ニッケルチタン製の柔軟な器具。複雑に湾曲した根管の形状に沿って、内部の汚染物質を除去する際に用います。

高い封鎖性を持つ歯科用のセメント。歯にあいた穴の修復や、歯の神経を保護することを目的として使用されます。

歯を拡大して観察できる歯科用顕微鏡。肉眼では確認が難しい根管の内部を詳細に把握し、精密な治療に役立ちます。
|
従来からの歯内療法
30年前から変わらない方法に限られる |
世界基準の根管治療
徹底的な感染除去を行う現在考えられる、最善の方法で行う |
|
|---|---|---|
| 視覚 |
|
|
| 消毒 |
|
|
| 削る道具 |
|
|
| 治療回数・期間 |
|
|
| 治療中の蓋 |
|
|
| 最後に詰める薬剤、蓋 |
|
|
| 成功率(初めての治療) | 50%~60% | 80%~90% |
| 成功率(再治療) | 40%~50% | 70%~80% |
大宮駅すぐの歯医者 大宮マルイPremiumデンタルクリニック
01
レントゲンやCTで歯の状態を正確に診断
むし歯や炎症の進行度、根管の形状などを把握するために、レントゲンやCT撮影を行います。検査結果をもとに、根管治療が必要かどうか、治療期間や費用について丁寧にご説明します。
02
麻酔処置・虫歯の除去
治療の際は局所麻酔を使用し、できるだけ痛みを抑えながら処置を行います。虫歯に侵された歯質を取り除き、神経(歯髄)にアクセスできるようにします。
03
感染した神経の除去・根管の洗浄
感染した神経や汚染物質を取り除き、専用の器具で根管の内部を丁寧に洗浄・消毒します。状態によっては数回に分けて通院いただく場合もあります。
04
薬剤での消毒・密封(根管充填)
根管内がきれいになったら、細菌の再感染を防ぐために薬剤を詰めて密閉します。この処置により、歯の内部がしっかり保護され、再発リスクが低くなります。
05
土台の装着と被せ物の準備・装着
根管治療を終えた歯は脆くなるため、補強のための土台(コア)を入れ、その上に被せ物(クラウン)を装着します。保険適用のものから、審美性に優れた自由診療の素材までお選びいただけます。
※症状や感染の範囲により、複数回の通院が必要になる場合もあります。
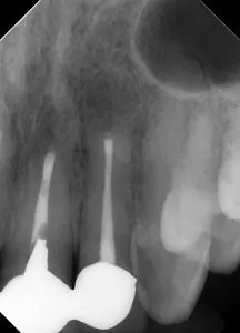
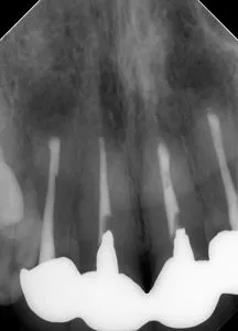
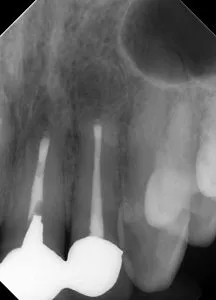
| 術前(写真) | 術後(写真) |
|---|---|
![]() |
![]() |
| 術名 | 精密根管治療(一回法) |
|---|---|
| 年齢 | 60代 |
| 性別 | 女性 |
| 主訴 | 数ヶ月前から歯ぐきから膿が出ている(他院で歯根破折による抜歯・インプラントを宣告された) |
| 診断名 | 歯内歯周病変(根尖性歯周炎に起因するもの) |
| 治療内容 | ラバーダム防湿下での根管治療、根管充填、支台築造 |
| 治療期間 | 約9ヶ月(治療自体は1日、その後経過観察) |
| 通院回数 | 根管治療自体は1回(その他、経過観察の来院あり) |
| 費用 | 小臼歯 ¥154,000 |
| リスク・副作用 | 歯根破折の程度や歯周病の進行状況によっては、保存が不可能で抜歯が必要になる場合があります。 また、術後に一時的な痛みや違和感が生じることがあります。 |
| 補足事項 | 【診断のポイント】 CT画像にて頬側の骨吸収が確認されましたが、他部位に歯周病がないことや未処置歯(イニシャルトリートメント)であることを踏まえ、 根管治療による骨再生が可能と判断されています。 【経過】 術後1週間でフィステル(瘻孔)が消失し、9ヶ月後にはレントゲン上で骨の完全な再生が確認されました。 |
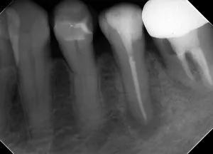
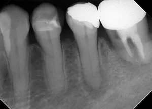
| 術前(写真) | 術後(写真) |
|---|---|
![]()
|
![]()
|
| 術名 | 歯根端切除術(逆根管治療) |
|---|---|
| 年齢 | 50代 |
| 性別 | 女性 |
| 主訴 | 前歯の根元の歯ぐきが痛い。現在の被せ物を外さずに治療したい。 |
| 診断名 | 根尖性歯周炎(右上2番、左上1番、左上2番の計3本) |
| 治療内容 | マイクロスコープ下での歯根端切除および逆根管充填(Lid Technique:BCシーラーとパテを使用) |
| 治療期間 | 約1年(手術自体は1日、その後経過観察) |
| 通院回数 | 手術は1回(その他、抜糸や経過観察の来院あり) |
| 費用 | 前歯1本あたり ¥143,000※手術単独で行う場合 |
| リスク・副作用 | 外科手術を伴うため、術後の腫れや痛み、内出血が起こる可能性があります。また、解剖学的な理由や病変の広がりによっては、完全な治癒に至らず抜歯が必要になる場合があります。 |
| 補足事項 | 【治療の選択理由】 患者様が「自費で作製した被せ物を外したくない」「治療回数を少なくしたい」という希望を持たれていたため、再根管治療ではなく外科的アプローチ(歯根端切除術)が選択されました。 【経過】 術後1年で3本とも根尖部の骨再生が完全に確認され、痛みなどの臨床症状も消失しました。 |
齲蝕(むし歯)が歯髄(神経)まで達し、不可逆的な炎症や感染が起きた場合です。放置すると根尖(根の先)に病巣が広がるため、抜歯を回避する目的で、感染した歯髄を除去・清掃する必要があります。
A. 処置は局所麻酔下で行いますので、治療中に痛みを感じることはありません。術後、一時的に咬合痛や違和感が生じる場合がありますが、これは一過性のもので、通常は数日で軽快します。
根管の数、形態、感染の度合いなど、症例によって変動します。標準的なケースで2~4回程度ですが、難症例や再治療の場合は、それ以上の回数を要することもあります。
根管系は非常に複雑な三次元構造のため、初回治療で感染源が残存したり、封鎖が不十分で細菌が再侵入(マイクロリーケージ)したりすることが原因です。当院では難易度の高い再治療にも対応可能です。
保険診療は使用材料や術式に規約上の制限があります。一方、自費診療ではマイクロスコープを用いた精密な処置や、高性能な薬剤(MTAセメントなど)・器具の使用が可能となり、より精度の高い治療を提供できます。
根管治療により多くの歯牙保存が可能ですが、歯根破折を起こしている場合や、炎症が重度で周囲の骨の破壊が著しい場合など、保存が困難と診断されるケースも存在します。適切な診断が極めて重要です。